티스토리 뷰
생명을 위협하는 뇌경색 전조 증상은 미리 예방하고 빠르게 치료하는 것이 중요합니다. 오늘은 뇌경색 초기 증상과 예방법, 뇌경색에 좋은 음식에 대해 알아볼 테니 참고하셔서 도움 되시기 바랍니다.

목차
1. 뇌경색이란?
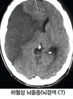
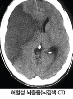
뇌경색은 뇌세포가 죽어가는 과정으로 즉시 치료하지 않을 경우 생명을 앗아갈 수 있는 치명적인 질환 중 하나입니다. 뇌졸중 종류 중 하나인 뇌경색은 뇌혈관이 막혀 뇌에 혈액순환이 제대로 이루어지지 않아 발생하는 증상인데요.



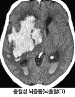
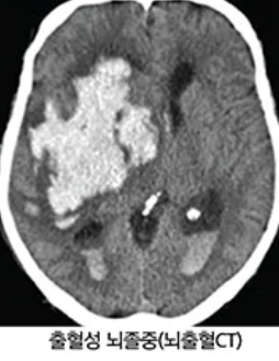
뇌졸중이 심각해지면 뇌 벽 내부의 약한 부분이 터져 뇌 안에 출혈이 생기기 때문에 미리 예방하고 빠르게 처치하는 것이 매우 중요합니다. 때문에 뇌경색 초기 증상이 의심된다면 빠르게 가까운 병원으로 가보는 것을 권장드립니다.



2. 뇌경색 초기증상
1) 감각 소실 및 이상
한쪽 뇌 조직에 문제가 발생하면 반대 방향 얼굴 안면과 팔, 다리에 감각 소실과 이상이 생길 수 있습니다. 평소와 달리 중심을 잡기 어렵다거나 내 의사와 달리 한쪽으로 몸이 기울어지는 현상이 나타난다면 뇌경색 초기 증상을 의심해 볼 수 있습니다.
2) 안면마비 및 표정 관리 이상
뇌에 손상이 생기면 안면 근육 운동을 담당하는 안면신경이 마비될 수 있습니다. 안면 마비가 발생하면 입꼬리가 마비된 반대편으로 올라가게 되며 한쪽 눈이 잘 감기지 않는 등의 증상이 생길 수 있습니다. 얼굴 근육 중 일부가 불편하다 느껴지거나 표정 관리가 잘 안 된다면 뇌경색 초기 증상일 수 있으므로 빠른 진단이 필요합니다.



3) 심각한 두통 및 구토
뇌경색 초기증상 중 하나는 두통이 심해지는 것입니다. 만약 뇌경색이 심각해져 동맥류가 터지는 경우라면 머리를 세게 압박하는 것과 같은 통증을 계속 느낄 수 있습니다. 또한 두통과 함께 구토 증세도 나타날 수 있습니다. 가끔씩 두통이 생기는 게 아니라 일정한 두통으로 불편감이 계속된다면 뇌경색 초기 증상일 수 있습니다.
4) 어지럼증



앉았다가 일어날 때 어지럼증을 느끼는 기립성 저혈압이 아니라 가만히 있다가도 어지럼증을 자주 느낀다면 뇌경색 초기 증상이 의심됩니다. 뇌의 혈액이 잘 흘러가지 않고 순환이 되지 않는 경우 속이 메스껍고 어지러움을 호소할 수 있습니다. 이러한 증상이 계속되면 몸의 균형을 잡기 어려우며, 길을 가다 갑자기 넘어질 수도 있습니다. 심각한 경우 한쪽 팔과 다리의 감각을 느끼지 못하는 증상이 생길 수 있으니 어지럼증이 지속된다면 진료를 받아보아야 합니다.
5) 시력 저하 및 장애
평소와 달리 갑자기 시력이 떨어진 것 같도 사물이 흐리거나 겹쳐 보인다면 이 또한 뇌경색 초기 증상 중 하나일 수 있습니다. 뇌에 손상이 가해지면 시력이 저하되고 결손 등의 장애가 발생할 수 있기 때문입니다. 눈이 뻑뻑하거나 흐릿하게 보이는 경우라면 먼저 가까운 안과를 방문해 보는 것이 좋습니다.



6) 언어장애
말하고 듣는 능력이 떨어져 의사소통이 어렵다 느껴진다면 뇌경색 초기 증상을 의심해 볼 수 있습니다. 물론 나이가 들수록 말투나 발음이 또렷하지 못하고 어눌해질 수 있습니다. 하지만 상대방의 말을 잘 알아듣지 못하는 정도가 지속되거나 심각해진다면 뇌경색 초기 증상일 수 있습니다.
위에 언급된 뇌경색 초기 증상이 조금이라도 느껴진다거나 의심된다면 하루라도 빨리 가까운 병원을 방문해 정확한 진단을 받아보아야 합니다. 골든타임이 매우 중요한 뇌경색 초기 증상 치료는 막힌 혈관을 즉시 뚫어주어야 발 빠른 대처를 할 수 있기 때문입니다.
3. 뇌경색 원인
1) 고혈압
고혈압은 뇌경색의 가장 흔한 원인 중 하나입니다. 고혈압은 혈관 내부에 압력을 가해 혈관을 손상시키고 혈전 형성을 촉진시킵니다. 이로 인해 뇌혈관이 막힐 수 있습니다.
2) 당뇨병
당뇨병은 혈당 수준을 제어하는 데 어려움을 겪을 수 있습니다. 고혈당은 혈관을 손상시키고 혈전 형성을 촉진시키는데, 이는 뇌경색의 위험을 높입니다.
3) 고지혈증
고지혈증은 혈중의 콜레스테롤 수치가 비정상적으로 높은 상태를 말합니다. 콜레스테롤이 혈관 벽에 쌓이면 혈관이 좁아지고 혈액의 흐름이 제한될 수 있습니다.



4) 흡연



담배에 함유된 독성 물질은 혈관을 손상시키고 혈액을 응고시키는데, 이는 뇌경색의 원인이 될 수 있습니다. 흡연은 뇌혈관을 좁게 만들어 혈류를 저하시키는 효과가 있습니다.
5) 과도한 음주
과도한 음주는 혈액을 희석시켜 혈전 형성을 촉진시킬 수 있습니다. 또한 음주에 따른 독성 물질이 혈관을 손상시키고 혈압을 상승시킬 수 있습니다.
6) 비만
비만은 고혈압, 당뇨병, 고지혈증 등의 위험 요인과 밀접한 관련이 있습니다. 비만은 혈관을 좁게 만들고 혈액 순환이 원활하지 않게 만들어 뇌경색의 위험을 증가시킬 수 있습니다.
7) 심혈관 질환
심장 질환과 혈관 질환은 뇌경색의 위험을 증가시키는 요인입니다. 심장 질환은 혈액의 흐름을 방해하고 혈전 형성을 유발할 수 있으며, 혈관 질환은 혈관을 손상시키고 혈액 순환이 원활하지 않게 만듭니다.



8) 유전적 요인
일부 사람들은 유전적으로 뇌경색에 더 취약한 경우가 있습니다. 가족력이 있는 경우 뇌경색의 위험을 갖고 있을 수 있으므로 주의가 필요합니다.
9) 나이
나이가 들면서 뇌혈관의 탄력이 감소하고 혈관 벽이 두꺼워져 혈액 흐름에 제약이 생길 수 있습니다. 이는 뇌경색의 위험을 증가시킬 수 있습니다.
10) 기타 요인
스트레스, 운동 부족, 불규칙한 식습관, 과다한 나트륨 섭취, 약물 남용 등도 뇌경색의 원인이 될 수 있습니다.
4. 뇌경색 검사 및 치료 방법
뇌경색의 진단을 위해 다양한 검사가 사용됩니다. 주로 사용되는 검사는 다음과 같습니다.
1) 전산화단층촬영(CT 스캔)
뇌의 구조와 혈액 순환이 어떻게 이루어지는지를 확인하기 위해 사용됩니다. CT 스캔은 X선을 사용하여 뇌의 단면 이미지를 생성합니다.
2) 자기 공명영상(MRI)
뇌의 구조와 기능을 상세히 보기 위해 사용됩니다. 자기장과 라디오파를 이용하여 뇌의 이미지를 생성합니다. MRI는 CT보다 더 자세한 정보를 제공할 수 있습니다.
3) 자기 공명혈관조영술(MRA)
혈관의 구조와 혈류를 확인하기 위해 사용됩니다. MRA는 자기장과 라디오파를 이용하여 혈관의 이미지를 생성합니다.



4) 뇌혈관조영술(Cerebral Angiography)
혈관 내부의 혈액 흐름을 상세하게 확인하기 위해 사용됩니다. 혈관에 Kontrast 제제를 주입한 후 X선을 사용하여 혈관의 형태와 혈류를 확인합니다.
5) 경동맥, 경두개 초음파
경동맥과 경두개의 혈관 상태를 평가하기 위해 초음파를 사용합니다. 이를 통해 혈관의 혈류 속도, 혈압, 혈관의 형태 등을 확인할 수 있습니다.
뇌경색의 치료 방법은 각 환자의 상태와 증상에 따라 다양하게 결정됩니다. 일반적으로 뇌경색 치료의 기본은 혈전 용해제를 투여하여 막힌 혈관을 개선하는 것입니다. 혈전 용해제는 혈전을 용해시키고 혈액의 흐름을 회복시킵니다. 이는 뇌경색 초기에 가장 효과적인 치료법 중 하나입니다.



그러나 혈전 용해제의 효과는 혈전의 크기와 혈관의 상태에 따라 제한될 수 있습니다. 혈전 용해제의 효과가 제한적인 경우, 동맥으로 직접 관을 삽입하여 혈전을 제거하는 시술이 사용될 수 있습니다. 이는 혈전을 직접 제거함으로써 혈류를 회복시키는 방법입니다.
이러한 시술은 혈전이 크거나 혈관이 매우 좁은 경우에 특히 효과적입니다. 뇌경색은 발병 후 지체 시간에 따라 예후가 달라질 수 있으므로, 뇌경색 초기증상이 나타났을 때는 최대한 빠른 대처가 필요합니다. 응급 상황에서는 즉시 병원으로 이송하여 전문 의료진의 치료와 관리를 받아야 합니다.


뇌경색의 예방을 위해서는 건강한 생활습관을 유지하는 것이 중요합니다. 특히 고혈압, 당뇨병, 고지혈증 등의 기저 질환을 관리하고, 흡연을 피하고, 적절한 식습관(채소, 과일 위주), 규칙적인 운동을 생활화하는 것이 중요합니다. 또한 정기적인 건강 검진을 받아 위험 요소를 조기에 발견하고 예방 조치를 취하는 것이 필요합니다.
5. 뇌경색에 좋은 음식
뇌경색을 예방하는 좋은 음식은 연어, 고등어, 참치 등의 생선, 현미 보리와 같은 통곡물, 미역, 다시마 같은 해조류 등이 있습니다. 특히 뇌경색에 좋은 다양한 식품 중 아보카도 오일은 나쁜 콜레스테롤 배출에 효과가 좋고, 영양소도 매우 풍부하게 함유되어 있습니다.



아보카도 오일에는 올레인산, 폴리페놀, 비타민E, 오메가 6, 오메가 9 등 뇌 건강 증진에 도움을 주는 성분들이 다량 포함되어 있습니다. 엑스트라버진 등급에 해당되는 고품질 올리브, 아보카도 오일에는 우리 몸에 나쁜 지방질 배출과 혈관 확장에 긍정적인 영향을 줍니다.
우리나라에서는 폴리페놀이 2,000mg 이상인 제품에 가장 많은 영양소가 들어있다고 하니 참고하시기 바랍니다.









이상 뇌경색 초기 증상과 원인, 예방법, 좋은 음식에 대해 알아보았는데, 평소 혈관 건강에 도움 되는 아래 글 참고하셔서 무엇보다 소중한 건강 잘 챙기시기 바랍니다.
▼ 함께 읽으면 좋은 글
아보카도 오일 효능, 먹는 방법 추천
올리브오일보다 더 좋은 아보카도 오일의 효능에 대해 자세히 알고 계신가요? 아보카도 오일은 다양한 면에서 건강에 도움을 주는데요. 이번 글에서는 아보카도 오일의 종류와 고르는 방법, 발
soulcompany1210.com
크릴오일 효능, Best 4가지, 주의사항
강력한 항산화 성분이 많아 관절염에 도움 되는 크릴오일이란 무엇인지, 크릴오일 효능 4가지와 섭취 시 주의사항에 대해 자세하게 알려드릴 테니 도움 되시기 바랍니다. 목차 1. 크릴오일이란?
soulcompany1210.com
대마종자유 효능과 부작용, 지방 녹이는 오일
지방 녹이는 오일인 대마종자유 효능과 부작용에 대해서 정리해 드리겠습니다. 광활한 들판에서 자라는 푸른 작물의 대마는 아시아에서 수천 년 전부터 재배해 온 것으로 알려져 있습니다. 가
soulcompany1210.com
'건강 정보' 카테고리의 다른 글
| 글루텐프리 뜻, 음식, 식단 (0) | 2023.11.22 |
|---|---|
| 폐섬유증 원인과 증상, 좋은 음식 (0) | 2023.11.21 |
| 들기름 효능, 보관법, 먹는법 (0) | 2023.11.16 |
| 과메기 효능과 보관법 (0) | 2023.11.09 |
| 변비에 좋은 음식, 변비 해결 방법 (0) | 2023.11.09 |